Before and After Smile Gallery
Same-Day Emergency Service | FREE Implant Consultations | Since 2007
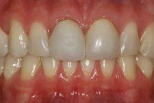
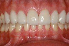
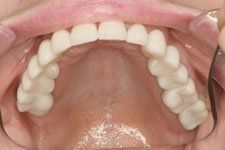
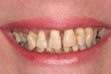
Contact UsSee Examples of Our Exceptional Dental Work
Look through the images below to see some examples of the professional dental work completed here at All About Smiles Family Dentistry. We want you to feel confident in your smile. At All About Smiles Family Dentistry, you can look forward to the personal attention and exceptional results you deserve. If you see elements of your own smile in some of our pictures and would like to get similar results, we're here to help you. Contact us 
today to get started. Same-day emergency services are available for existing patients in extreme pain.









